We Will Give You a Beautiful Smile
Dr. Hanna can perform many types of cosmetic procedures and has been doing so since he started his practice in 1986. If you need bonding, crowns, gum grafts or something else, Dr. Hanna will be able to effectively give your teeth exactly what they need. In the process, you and your smile will benefit greatly!
We specialize in personalized and friendly care! Contact
Dr. S. K. Hanna & Associates today.
Our Cosmetic Dentistry Services
- Crowns
- Bridges
- Veneers
- Teeth whitening
- Tooth colored restorations
Veneers
Bridges
Veneers & Crowns
Crown & Bridge
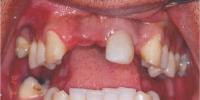
To improve esthetics, our patient had crown and bridge placed from #6-#12.
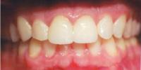
To improve aesthetics and brighten his smile, our patient had crowns placed from #6-#11.
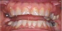
To improve patients bite and periodontal health, our patient had Invisalign and veneers placed on #8 and #9 to straighten her teeth and improve esthetics.
We offer a Complimentary
Invisalign consultation!
904-384-5571
"I have trusted Dr. Hanna for over 20 years. He is an excellent dentist and a terrific person. His office is inviting, and he and his staff always make it an enjoyable experience. I recommend his office highly."
- Kelsea E.
Special Offer
$500 OFF
Get $500 OFF your Invisalign treatment with FREE whitening at Dr. S. K. Hanna & Associates.
EXPIRED

























