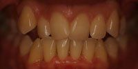
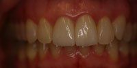
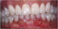
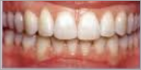
A Newer Way to Straighten Your Teeth
Invisalign uses a custom-made series of teeth aligners created specifically for you, giving you a new, more modern approach to strengthening your teeth. Invisalign users can wear these near-plastic trays over your teeth, which will gradually move your teeth into place based on the movements that are planned out for you. There is nothing intricate about them. Just simply insert a new set in every two weeks until treatment is complete.
We offer a FREE
Invisalign consultation! Get in touch
with Dr. S. K. Hanna & Associates today.

Benefits of Invisalign
- Virtually invisible
- Smooth and comfortable
- Removable
- Easily cleaned
- Eat whatever you want
Get $500 OFF your Invisalign treatment with FREE whitening.
904-384-5571
"The staff and Dr. are professional, friendly, pain-free and courteous. A great experience!"
- Glenda V.











